近日,西安市胸科医院超声科主任黄毅团队在美国AUDT杂志(《超声诊断与治疗进展》期刊)发表了一篇名《COVID-19患者肺部病变的超声表现分析》的论文,其研究成果为全球应对此次疫情的一线医生在应用床旁肺超声影像学技术检查分析新冠肺炎患者肺部病变的进展及评价临床疗效方面提供了宝贵经验。

黄毅主任在论文中回顾性研究了2020年1月至3月入院的20例新冠肺炎患者。根据新冠肺炎患者入院时间、临床症状及CT影像学病表现将入院确诊患者病程分为进展期与转归期,分析新冠肺炎患者肺部病灶随时间变化的主要超声表现及分布特点,患者进展期平均持续时间,转归期平均持续时间以及平均病程天数。初步描述了新冠肺炎患者肺部病灶在不同时期的超声图像变化规律,以及CDFI显示肺部实变病灶内血流信号分布发展表现。分析并总结了不同疾病阶段的床旁肺部超声检查的影像学特征。
新冠肺炎患者发生临床突发事件的根本原因在于呼吸系统与循环系统氧气输送障碍,特别是肺部细小支气管及肺泡病变引起肺泡损伤伴炎性渗出细支气管堵塞所致患者肺内氧气输送障碍,而肺部深部细小支气管及肺泡病变多位于肺周胸膜下,也正是超声所能探查并且易于观察的部位。新冠肺炎患者的肺部病变可通过各种成像方式进行评估,如CT和超声等。CT扫描可为临床诊断和治疗提供重要信息,但也存在设备短缺、缺乏机动性等临床困难。床旁肺超声可以弥补CT影像学检查方法的不足,成为评价新冠肺炎患者肺部病灶的一种新型影像学技术。
黄毅主任根据新冠肺炎病例研究显示患者平均病程约为21.2天,从患者入院开始病灶进展期持续时间约10.5天,转归期持续时间约10.7天。超声图像主要表现为胸膜线欠光滑或中断,所有病例肺周可见B线样分布,发生比例为(20/20,100%),其次为实变病灶内可见充气征,发病比例约为(15/20,75.00%)。随患病时间及病情进展超声图像由B线征逐步变化为病变部位肺组织筛网样实变到小斑片样实变到大片样实变进展过程,实变病灶内支气管充气征逐渐减少。随着病情转归超声图像出现与进展期相反进程的变化过程。CDFI显示实变病灶内血流信号由初期乏血流逐渐向多血流灌注转变。
研究成果展示

进展早期,图1 CT显示右肺下叶团片状渗出影;图2 线阵探头显示相应位置胸膜线毛糙,厚度变薄。图3双肺多发斑片渗出影,中外带为主;图4 线阵探头显示相应肺周宽大B线,胸膜凹陷,欠光滑(黄色箭头所示) 。


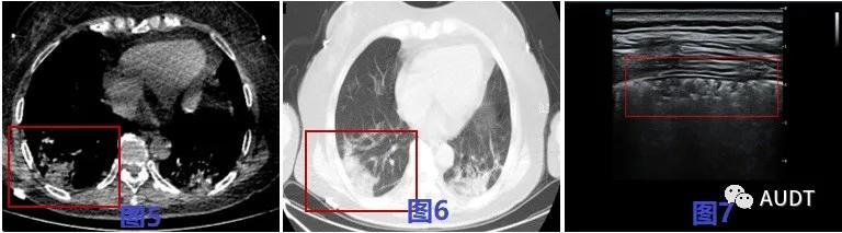
进展中期,图5-6 CT显示右肺下叶肺周处胸膜下可见大片状筛网状软组织影,图7 线阵探头显示相应肺周胸膜线欠连续,胸膜下可见长条样实变影,其内细支气管肺泡充气征,呈铺路石样改变,间质性病变征象显著,后伴大量B线。


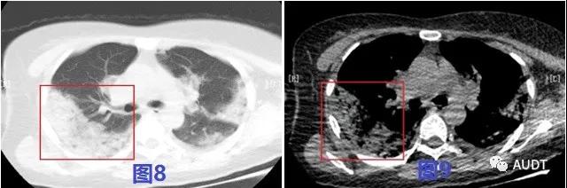
进展后期,图8-9 CT扫描显示双肺呈大片样,条带样实变影,图10-12超声显示相应肺周胸膜局限性增厚。实变病灶内超声可见粗大支气管充气征,伴病灶后弥漫性B线,实变区域实变与正常肺组织交界区可见少量星点状血流信号。

同一患者肺部病灶进展与转归超声图像变化表现 :图13-14 为进展期,图15-17为转归期 CT扫描显示双肺大片样,条带样实变影较图13 逐步明显吸收,图16较图14 超声显示病变肺组织缩小,实变组织内气体强回声增多,图18 在图16表现的基础上肺部病灶大部消失,可见少量B线残留。
论文研究显示新冠肺炎的超声表现在不同的疾病阶段有一定的特点。超声在这些患者中的应用,可为评价病程和疗效提供影像学依据。
“我们愿意同社会毫无保留分享疫情防控信息和经验,让更多的新冠肺炎患者得到更好的救治,尽早战胜疫情。”黄毅主任说到。