日前,一篇题为Ultrasound can be used for patients with COVID-19的报道在美国著名影像学论坛AuntMinnie.com发表。特约撰稿人Theresa Pablos在文章中写到:2020年2月28日,西安市胸科医院黄毅团队《A Preliminary Study onthe Ultrasonic Manifestations of Peripulmonary Lesions of Non-Critical Novel Coronavirus Pneumonia (COVID-19)》的预印本论文上线SSRN网站平台,在全球范围内率先公布了新型冠状病毒肺炎肺周病变超声表现。



这项研究为2020年1-2月份在西安市胸科医院收治经临床确诊的非重症期新型冠状病毒肺炎(COVID-19)患者共20例,均行常规二维超声及彩色多普勒超声检查,观察病灶在超声影像学下的图像特征。
黄毅主任在论文中解释道,这是为了探究患者感染新型冠状病毒肺炎后,肺部超声的表现及变化,期望为临床诊治及疗效评价提供实时便捷参考依据,弥补新型冠状病毒肺炎(COVID-19)目前依靠大型固定式CT影像学检查出现的相关临床困境,尝试解决目前临床针对新型冠状病毒肺炎(COVID-19)超声影像学检查缺少相关询证医学文献支持的问题。
新冠患者如何行肺部超声检查?
肺部分区通常以腋前线、腋后线为界将肺脏分成前、侧、后3个区域,即两侧肺脏各被分为6个区域;为避免检查遗漏,再以床旁肺部急诊流程(Bedside Lung Ultrasound in Emergency-PLUS,BLUE-PLUS)上蓝点连线为界,同时与腋前、后线垂直连线至脊柱点,将每侧肺脏分成上、下2个肺野,从而将双侧肺脏分成12个区域。为便于标记和描述病变部位,在实际工作中可采用R/L1~6分区标记法,即R代表右侧肺脏(R1:右前上,R2:右前下,R3:右腋上,R4:右腋下,R5:右后上,R6:右后下);L代表左侧肺脏 (L1:左前上,L2:左前下,L3:左腋上,L4:左腋下,L5:左后上,L6:左后下)。
主要观察内容:(1)胸膜线是否光滑、连续是否中断;(2)双肺肺周"B"线分布位置,数目,是否融合;(3)如有肺周病灶应观察病变回声、部位、形态、范围;(4)如有实变观察其内是否有支气管充气征,或细支气管肺泡充气征;(5)应用彩色多普勒超声技术了解实变肺部病灶血流分布等;(6)胸膜下病灶周围是否出现胸腔积液,胸膜是否出现局限性增厚,有无胸腔积液。
得出了什么结果?
1、 共20例患者被纳入本研究,其中双肺多发病灶选取最大者观察,男11例,女9例,年龄27-81岁,年龄中位数44.5,≥65岁3例,<65岁17例。通过超声对患者肺脏左右各6个肺野12个肺区域存在病变数量进行统计,可以看到不同肺区病变数量。具体结果见下图。

2、 通过对各个部位病变类型进行分析,病变部位可见到B线比例高于其他病变表现,95%CI为0.317-0.441。存在血流征象比例较小,其95%CI为0.008-0.121。具体结果详见下图。

在这20人中,研究人员又观察到了什么?
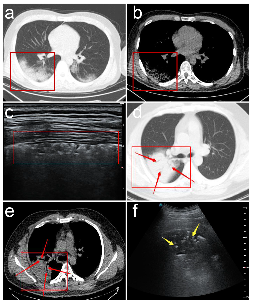
1.病灶部位多分布于双肺后野区。
2.超声探查可见胸膜线下多条不连续或连续融合B线(瀑布征),或弥漫性B线(白肺征),同时A线消失。与心源性肺水肿所致B线比较,冠肺B线融合现象更普遍,位置相对也比较固定,B线边缘模糊,无分叉征,起点位于胸膜下病灶较肺水肿B线起点圆钝(凸阵探头)。
3.高频超声显示胸膜线欠光滑、毛糙,连续性中断,主要是由于胸膜下肺泡及间质病变气体含量减少,声波反射减少所致。
4.胸膜下病灶可见多发小斑片样实变,长条样实变。
5.病灶内回声均匀或不均匀,多可见细小支气管肺泡充气征(早期、进展期多见。考虑次级肺小叶受间质炎性侵犯,间质水肿增厚,部分细小支气管及肺泡尚未受侵犯气体含量高所致)或支气管充气征(重症期或局部大片实变多见,考虑原因可能为局部炎症风暴所致大部细小支气管肺泡水肿实变仅留较大支气管或部分肺泡所致伴病灶后弥漫性B线,经观察部分发病时间较长病情趋于好转冠肺患者CT影像呈小结节样实变影,超声亦可见胸膜下结节样不规则回声影,后见融合B线,位置固定。
6.高频超声还可显示病变肺周的胸膜局限性增厚及胸膜下病变周围局限胸腔积液(线阵探头更清晰多数患者胸膜增厚约1-2mm,病灶周胸腔内局限性胸膜下积液约2-3mm)随病情进程有所变化。
7. CDFI超声显示非重症期新型冠状病毒肺炎(COVID-19)患者胸膜下实变病灶血流信号不敏感,随更换多台不同品牌新型超声仪器仍显示呈乏血流表现,具体原因可能与病变的病理性质有关,同时与病变进展时期有关,但应引起高度重视,因普通炎症所致肺实变彩色多普勒超声显示呈丰富血流信号,一般预后较好但新型冠状病毒肺炎(COVID-19)患者病变一般进展迅速,引起患者死亡,是否与肺组织未能迅速建立起丰富微小血管交换机制相关还有待于进一步研究,但值得肯定的是彩色多普勒超声相比其他医疗设备更能有效直观的了解实变肺组织血供信息,对临床医生预先判断患者预后及病情进程有重要的临床价值。




